El molusco contagioso es una infección cutánea causada por un poxvirus, que se manifiesta como pequeñas verrugas en la piel. Estas lesiones, aunque inofensivas, pueden propagarse fácilmente por contacto y multiplicarse en número y tamaño, lo que puede resultar en molestias estéticas y físicas para quienes las padecen. En este artículo, exploraremos en detalle qué son los moluscos en la piel, cómo se transmiten, y qué opciones de tratamiento están disponibles para manejarlos eficazmente.
¿Qué son los moluscos en la piel?
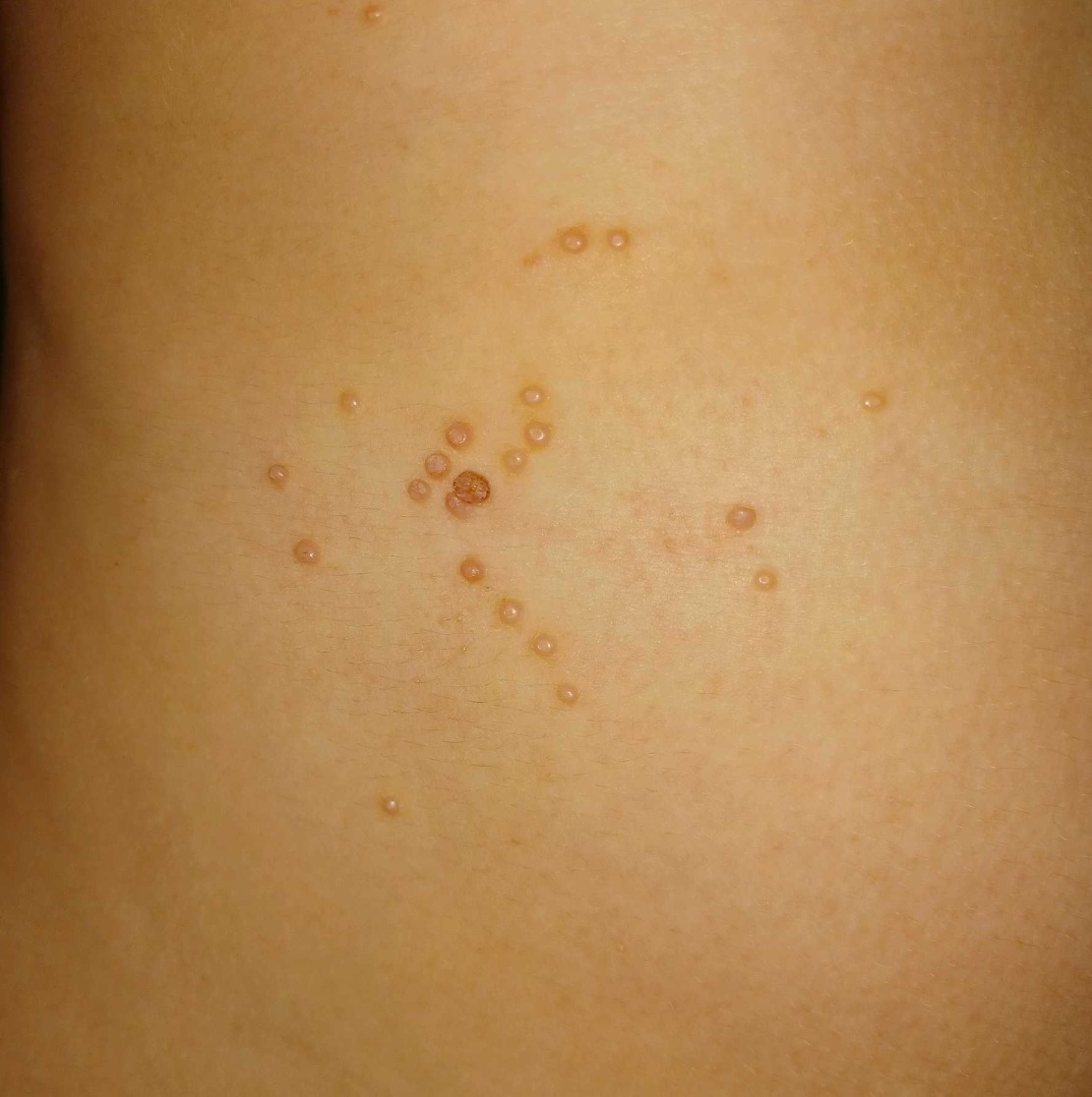
Los moluscos contagiosos son pequeñas protuberancias que aparecen en la piel, generalmente del tamaño de un alfiler, pero que pueden llegar a ser más grandes. Estas verrugas tienen una apariencia perlada y suelen ser de color carne, con un pequeño hoyuelo en el centro. Pueden presentarse en cualquier parte del cuerpo, aunque son más comunes en áreas como el tronco, las extremidades y la cara. En los niños, a menudo se encuentran en el rostro, el cuello, las axilas y las manos, mientras que en los adultos suelen aparecer en las regiones genitales y abdominales.
Transmisión y propagación
El molusco contagioso se transmite fácilmente por contacto directo con la piel infectada o mediante objetos contaminados como toallas, ropa o juguetes. La autoinoculación, es decir, rascarse o frotarse una lesión y luego tocar otra parte del cuerpo, también puede propagar las verrugas. Esto hace que la infección pueda extenderse rápidamente y afecte múltiples áreas de la piel.
¿Son peligrosos los moluscos contagiosos?
A pesar de su apariencia alarmante, los moluscos contagiosos son generalmente inofensivos y tienden a desaparecer por sí solos con el tiempo, aunque este proceso puede durar desde unos pocos meses hasta varios años. Sin embargo, debido a su capacidad de propagarse y aumentar en tamaño y número, muchas personas optan por tratarlos para acelerar su desaparición y evitar su diseminación.
Tratamiento de los moluscos en la piel
Métodos físicos
Uno de los métodos más comunes para tratar los moluscos contagiosos es mediante la eliminación física de las verrugas. Esto puede realizarse utilizando pequeñas curetas o bisturís para extirpar las lesiones. Este procedimiento debe ser realizado por un dermatólogo para asegurar una extracción adecuada y minimizar el riesgo de cicatrices.
Tratamientos tópicos
Otra opción son los tratamientos tópicos, que consisten en la aplicación de soluciones irritantes sobre las verrugas para acelerar su desaparición. Estos productos pueden incluir ácido salicílico, peróxido de benzoilo o cremas específicas que inducen una respuesta inflamatoria en la piel, ayudando a eliminar el virus.
Consideraciones importantes
Consulta con un Dermatólogo
Antes de iniciar cualquier tratamiento para los moluscos en la piel, es fundamental consultar con un dermatólogo. El especialista evaluará la extensión y gravedad de la infección y recomendará el tratamiento más adecuado, que puede incluir una combinación de diferentes opciones según la evolución de las verrugas.
Consejos para la prevención de moluscos en la piel
Para evitar la propagación del molusco contagioso, se recomienda mantener una buena higiene personal, evitar compartir objetos personales como toallas y ropa, y cubrir las lesiones con vendajes para prevenir el contacto directo con otras personas o partes del cuerpo.
Conclusión
Aunque los moluscos contagiosos son una afección cutánea común y generalmente inofensiva, su capacidad para propagarse y persistir en la piel puede ser motivo de preocupación. A través de métodos físicos y tratamientos tópicos, es posible gestionar y reducir las verrugas de manera efectiva. No obstante, siempre es aconsejable buscar la orientación de un dermatólogo para asegurar un tratamiento adecuado y evitar complicaciones. Con el enfoque correcto y las precauciones necesarias, es posible controlar y eventualmente eliminar los moluscos en la piel, manteniendo la salud y el bienestar de la piel.
La Dra. Almudena Fernández, una de las especialistas en Dermatología de la Clínica Novaderma, nos cuenta en detalle sobre cómo tratar el molusco en la piel:
Si quieres saber más sobre este tipo de afecciones cutáneas que afectan a la edad pediátrica, pincha aquí: dermatología pediátrica
Conoce a nuestra dermatóloga, la Dra. Almudena Fernández


Comments are closed.